- LESÃO DO MANGUITO ROTADOR
- LUXAÇAO DO OMBRO
- LUXAÇÃO ACROMIOCLAVICULAR
- FRATURA DA CLAVICULAR
- ARTROSCOPIA
- OMBRO CONGELADO
- FRATURAS DO OMBRO
- ARTROSE DO OMBRO
- TENDINITE DO OMBRO E BURSITE DO OMBRO
LESÃO DO MANGUITO ROTADOR

O manguito rotador é composto por 4 músculos: supraespinhal, infraespinhal, subescapular e redondo menor. A principal função desse grupo muscular e realizar os movimentos do ombro, bem como a estabilização da articulação. As lesões do manguito rotador constituem a ruptura total ou parcial desses tendões.. As causas da lesão podem ser degenerativas e traumáticas. No paciente idoso, com o processo de degeneração o tendão perde as suas propriedades fibroelásticas e torna-se susceptível ao surgimento dessas lesões. As causas traumáticas são observadas habitualmente em pacientes jovens, mas pode acometer os pacientes mais velhos também. Sintomas como dor no ombro e dificuldade para realizar a elevação do ombro e movimentos rotacionais são as queixas mais frequentes. O tratamento e individualizado para cada paciente. Mas as lesões com ruptura total ou lesões parciais com mais de 50% de extensão, associado a quadro de dor e dificuldade para realizar os movimentos do ombro, tendem a necessitar de cirurgia. Para lesões parciais com menos de 50% com quadro de dor pequeno e um bom movimento do ombro habitualmente indica-se a reabilitação com fisioterapia. A cirurgia utilizado é a artroscopia do ombro, podendo-se realizar a cirurgia aberta em raros casos. Após o procedimento utiliza-se uma tipoia durante cerca de 35 dias, onde após esse período o paciente iniciará a reabilitação fisioterápica.
LUXAÇAO DO OMBRO

A luxação do ombro é a perda de contato dos ossos que compõe essa articulação, no caso o úmero e a escapular. Por ser a articulação do corpo humano com maior arco de movimento ela é mais suscetível a luxação, sendo a articulação mais deslocada no adulto. As principais causas da luxação são traumas no ombro ou então por frouxidão ligamentar. Radiografia é o primeiro exame a ser solicitado para se confirmar a lesão. Outros exames como a tomografia e a ressonância também são solicitados para a investigação de outras lesões. O tratamento imediato e a recolocação do ombro no lugar, através de manobras específicas. Alguns pacientes podem evoluir para um quadro de luxação recorrente do ombro, no qual a articulação pode sair do lugar com movimentos simples do dia a dia. Nessas situações o tratamento mais provável é o cirúrgico. O procedimento realizado na grande maioria das vezes é a artroscopia do ombro, entretanto alguns casos podem necessitar de cirurgia aberta ,
LUXAÇÃO ACROMIOCLAVICULAR

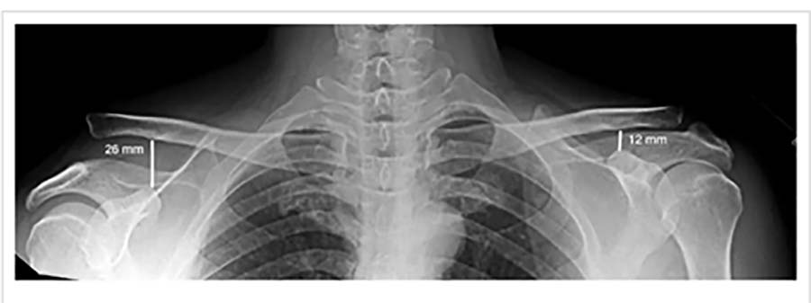
A luxação acromioclavicular consiste na perda de contato entre a clavícula e o acromio ( parte do osso da escapula). Isto ocorre em decorrência a um trauma na parte lateral do ombro. Com a luxação temos a impressão que a clavícula ascendeu. Além da deformidade o paciente apresenta uma dor intensa na região lateral do ombro. Para o diagnóstico utilizamos a radiografia. E com ela avaliamos o grau da luxação da clavícula. Para casos mais simples apenas uma tipoia por três semanas é utilizada no tratamento. Para os casos mais graves a cirurgia é indicada como o tratamento de escolha.
FRATURA DA CLAVICULAR

A clavícula é o osso responsável em ligar o esqueleto axial ao membro superior. A fratura deste osso é comum, e acomete principalmente homens jovens com idade abaixo de 20 anos, após uma queda sobre o ombro. A maioria (80-85%) das fraturas da clavícula ocorrem no terço médio. Geralmente apresenta inchaço, com arroxeado local de pele e geralmente com a movimentação se ouve pequenos estalos Essas fraturas, quando com pouco desvio, podem ser tratadas conservadoramente com imobilização. Em casos de cirurgia existem 2 opções principais: colocação de placa e parafusos ou uma haste intramedular.
ARTROSCOPIA

A artroscopia é um método de cirurgia em que o procedimento é feito através de portais ( pequenos furos na pele). Tem a vantagem de ter um pós-operatório com menos dor e não precisar de grandes cortes como a cirurgia tradicional. Através dos portais colocamos a câmera e os intrumentos cirúrgicos dentro do ombro para realizar o procedimento.
OMBRO CONGELADO

Capsulite adesiva ou “ombro congelado” é uma síndrome que diminui os movimentos do ombro, podendo acontecer pós cirurgias ou de forma espontânea, sem causa conhecida. Pode ser mais comum em pacientes com diabetes e é uma doença autolimitada que dura em média de 1 a 3 anos, podendo sumir sem deixar sequelas. Ela tem 3 fases: A aguda, onde aparece a dor de forma gradual. Fase de congelamento, que é a perda progressiva do movimento do ombro. E a ultima é a de descongelamento, quando a dor começa a diminuir e os movimentos começam a retornar ao normal. Na grande maioria das vezes o tratamento é realizado através da reabilitação fisioterápica. Para os casos refratários a terapia podemos utilizar procedimentos cirúrgicos para a correção da rigidez
FRATURAS DO OMBRO

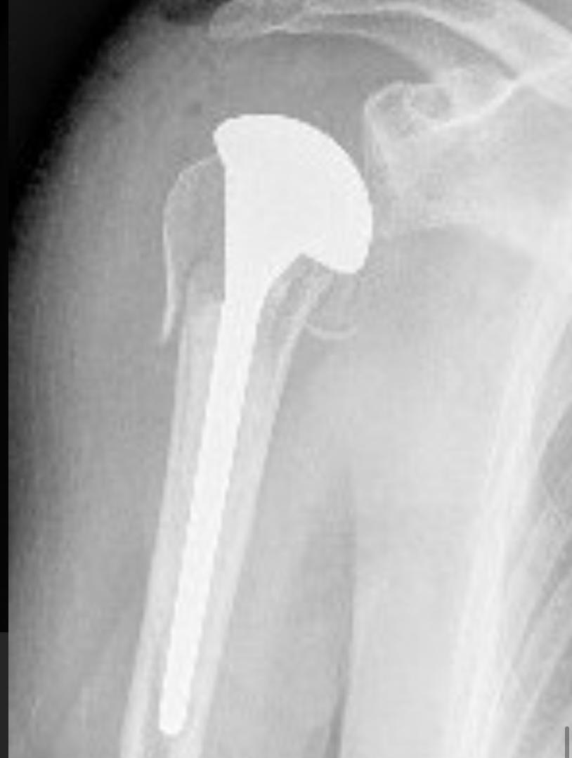
As fraturas do úmero proximal acontecem basicamente em 2 perfis de paciente: em jovens após acidente de alta energia, principalmente queda de moto, e outra, no paciente acima de 50 anos, que simplesmente caem, frequentemente relacionada ao osso com osteoporose. Dor no ombro, impossibilidade de mexer e hematoma. Este último pode se espalhar pelo peito e braço Após a avaliação médica, no serviço de emergência, exame de raio-X será solicitado. Algumas vezes a tomografia computadorizada esclarece detalhes quando a fratura é complexa. Ressonância magnética é solicitada nos casos em que a suspeita de fratura é grande, porém o exame radiológico é normal. São os casos de fraturas ocultas. O tratamento para a maior parte dessas fraturas é com tipóia. Repouso do membro acometido por aproximadamente 45 dias é suficiente para a consolidação do osso. A cirurgia é realizada para aqueles pacientes que apresentam grande desalinhamento dos fragmentos da fratura, fraturas dentro da articulação e fraturas com luxações. O principal meio de fixação é com placa e parafusos. Algumas vezes, dependendo do tipo de fratura e idade do paciente, é necessário substituir a região fraturada por uma prótese.
ARTROSE DO OMBRO

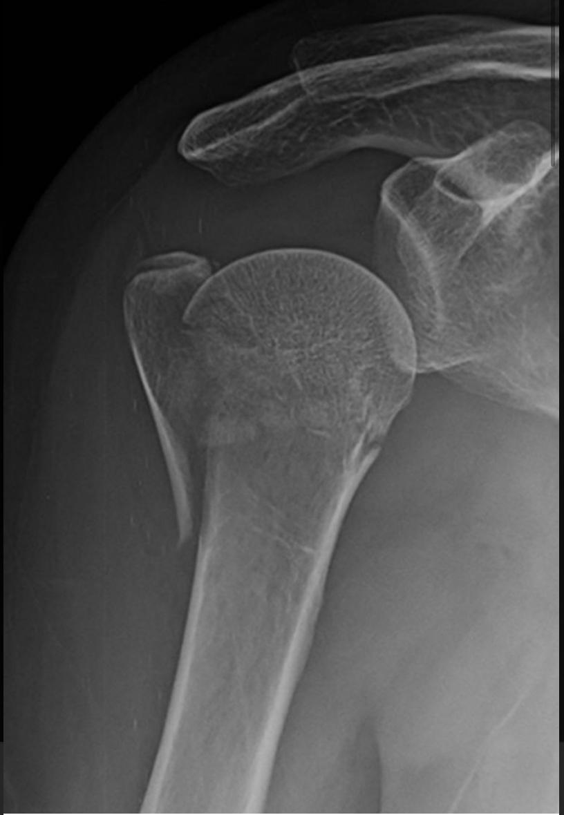
A artrose do ombro constitui o ‘’desgaste’’ da cartilagem da articulação. O principal sintoma é a dor e a rigidez, com a perda progressiva do arco de movimento do ombro. O diagnóstico é realizado através de radiografias que evidenciam o desgaste da cabeça do úmero e do espaço intra-articular e com exame fisico. A artrose não tem cura e os tratamentos aplicados são para evitar a progressão e aliviar os sintomas. O tratamento pode se dividido em não cirúrgico com a utilização de anti-inflamatórios, analgésicos e fisioterapias. E o tratamento cirúrgico no qual é utilizado a prótese, uma peça de metal que substitui a articulação gasta.
TENDINITE DO OMBRO E BURSITE DO OMBRO

Como dito anteriormente o manguito rotador é composto por 4 tendões: supraespinhal,infraespinhal, subescapular e redondo menor. A tendinite consiste no processo e inflamatório desses tendões. Problema muito comum é a bursite do ombro. A bursa é uma estrutura que fica em íntimo contato com os tendões do manguito rotador para partir o deslizamento dos tendões sob o osso. Dessa forma a bursite é o processo inflamatório da bursa. Ambos fazem parte de um mesmo processo, que é a síndrome do impacto. As causas são multifatoriais: tabagismo, doenças reumatológicas, genética, traumas, movimentos repetitivos dentre outros Os principais sintomas são dor no ombro com irradiação para o pescoço e cotovelo. Alguns pacientes queixam de uma piora da dor durante a noite. Para o diagnóstico são utilizados o exame de ultrassom e ressonância magnética. O tratamento com fisioterapia e medicações anti-inflamatórias é o de escolha. Para aqueles casos refratários pôde-se indicar o tratamento cirúrgico, no qual é feito uma artroscopia no ombro para a raspagem de todo esse processo inflamatório.