LUXAÇÃO DO COTOVELO

Luxação é a perda de contato entre dois ossos que costumavam estar sempre em contato íntimo e contínuo através da cartilagem. Esse tipo de luxação não é muito comum em cotovelos por terem uma articulação estável, mas quando acontece é, geralmente, quando o indivíduo sofre um trauma, queda ou pancada de alto impacto. Diferente da luxação de ombro, a de cotovelo pode acompanhar fraturas associadas e é de extrema importância que se faça uma radiografia antes de colocar a articulação no lugar. Diante do quadro procure imediatamente um pronto-socorro para os primeiros atendimentos e logo em seguida um médico ortopedista especializado para que ele possa averiguar a situação e dizer qual o tratamento mais adequado. ⠀
EPICONDILITE LATERAL

A epicondilite lateral (cotovelo do tenista) é uma inflamação dos tendões dos músculos do cotovelo. Causada pelo esforço repetitivo destes músculos, é mais comum a partir dos 30 anos de idade, nos trabalhadores que realizam movimentos repetitivos (digitar, escrever ou desenhar). Os sintomas de epicondilite lateral podem surgir sem causa aparente, de forma gradual e incluem: Dor no cotovelo, localizada mais especificamente na parte mais externa, podendo irradiar para o antebraço e diminuição da força no braço ou punho. Durante o tratamento, que incluem fisioterapia, massagem, estímulo elétrico dos músculos, remédios anti-inflamatórios, injeções de corticóide e até cirurgia em casos mais graves, é recomendado o repouso das atividades que desencadearam a dor.
LESÃO DO BICEPS DISTAL

A LESÃO DO BICEPS DISTAL CONSTITUI-SE NA RUPTURA DO TENDÃO AO NIVEL DO COVELO. Acomete homens ao redor dos 30-50 anos, durante o movimento de flexão do cotovelo ao realizar o levantamento de algum peso. É comum sentir um estalo no momento da lesão evoluindo com perda de força. Existem diversos fatores de risco como tabagismo, uso de anabolizantes e doenças sistêmicas como o Lúpus. Ao exame físico apresenta dor na região anterior do cotovelo com inchaço e pode ficar roxo o local. Na maioria das vezes é possível observar uma deformidade em relação ao lado contra-lateral (encurtamento do tendão). O tratamento de escolha é cirúrgico para as lesões totais ou maiores que 50% do tendão. O tratamento conservador é de exceção, somente se o paciente for sedentário e de baixa demanda, pois se não tratado geralmente resulta em perda de força de supinação (±40%), de flexão (±30%) e a resistência.
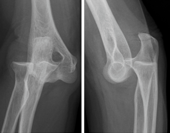
Fraturas do cotovelo

O cotovelo é composto por três ossos: o úmero, ulna e o rádio. As Fraturas do Cotovelo podem acontecer nesses três locais, isoladamente ou em conjunto, acompanhadas ou não por alguma lesão ligamentar ou de nervo. Assim como todas as fraturas, as de cotovelo se dão quando há um rompimento em um ou mais locais do osso. As que ocorrem nessa articulação são: a fratura da cabeça do rádio, a mais comum entre todas; fratura da porção distal do úmero e do olécrano (parte de trás do cotovelo, parte da ulna). As fraturas podem ocorrer em decorrência de uma queda com o braço estendido ou por traumas de alto impacto, como os acidentes automobilísticos. Dor, edema, hematoma e deformidade são os principais sintomas da doença. O diagnóstico e feito através da realização de radiografia e pela tomografia computadorizada. O tratamento pode ser realizado com imobilização gessada para aquelas fraturas bem alinhadas e o tratamento cirúrgico para as fraturas desalinhadas.